自宅でできる新しい矯正
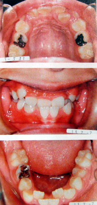
顎(あご)が小さいと、歯がきれいに並びきらないために、歯並びが悪くなりがちです。歯並びが悪いと虫歯や歯周病になりやすくなるだけではなく、いびきや無呼吸症候群になることがあります。
顎を成長させて、口の中の空間を広くし、歯並びも整えます。同時に空間が広がることにより、呼吸がしやすくなり、いびきや睡眠時無呼吸症候群を抑制することができます。

この装置はNHKスペシャル「病の起源」シリーズの睡眠時無呼吸症候群の番組で使われた矯正装置です。放送回では顎の発育が不十分で気道が狭い子供に用いられました。
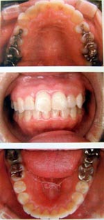
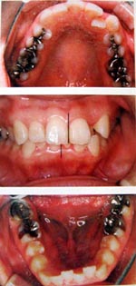
顎矯正(拡大矯正)SH療法は、1日10時間装置をはめて、あごを成長させる矯正です。お子様も大人も矯正することができます。
上記のような例で、症状が出ている場合、抜歯をせず口の中の空間を広くする装置を使用することで、症状をなくすことができます。
子供の場合・1日10時間装着

空間を広げ呼吸を楽にします。
成人の場合・1日10時間装着

顎が小さく症状がある方には有効です。
=注意=
顎が小さいまたは口の中の空間が狭い場合には改善が期待できますが、狭くない場合や肥満の場合は効果は期待できません。加齢や運動不足による筋力低下にも効果は期待できません。
期間は個人差があり、概ね2年〜3年は必要です。
矯正終了まで、いびき、無呼吸症候群は改善しません。
矯正をお考えの方はカウンセリングまたは検査をお受けください。
1.カウンセリング

2.検査、診察、模型製作

3.治療計画の説明

4.装置装着、移動開始

5.整ったら移動完了