いびき・睡眠時無呼吸症候群の治療法

いびき・睡眠時無呼吸症候群の治療法


鼻マスク
マウスピース
歯を抜かない矯正
外科手術
気管切開
生活習慣
医院案内

1日10時間の顎成長矯正・全顎矯正

 
 適応 : 顎が小さく、口の中が狭い場合

顎を成長させて、口の中の空間を広くし、歯並びを整えます。
同時に空間が広がることにより、呼吸がしやすくなり、いびきや睡眠時無呼吸症候群を抑制することができます。

1日10時間、自宅で顎を成長させ、歯列矯正する新しい方法で、子供から大人まで対応する矯正。(個人差があります)



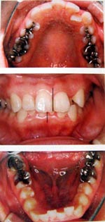
子供の例
狭く細長い歯並び
舌が収まりきれず、気道を圧迫し、いびきや無呼吸症候群の原因となります。
このような顎が小さい場合に装置は適応されます。


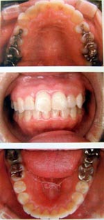
矯正後
1日10時間程度、自宅で装置を使い、本来の位置まで成長させると自然に歯が並びます。また、空間ができて、いびき、無呼吸症候群が解消します

 1日10時間程度・自宅で使用する最新の全顎矯正

成人
顎が十分に成長せず、口の中が狭い状態

矯正後
十分い広がり、歯も自然な状態に整えます。

顎が小さく、口の中の空間が十分にない場合、いびきや睡眠時無呼吸症候群の原因になることがあります。

上記のような例で、症状が出ている場合、抜歯をせず口の中の空間を広くする装置を使用することで、症状をなくすことができます。

この治療のお問い合わせ

=注意=
顎が小さいまたは口の中の空間が狭い場合には改善が期待できますが、狭くない場合や肥満の場合は効果は期待できません。

期間は個人差があり、1年〜3年です。
矯正終了まで、いびき、無呼吸症候群は改善しません。










Copyright Hirokawa.Dental Clinic All Rights Reserved.

広川歯科医院白宝デンタルクリニック