いびき  いびきとは |原因 |為害性 |防止対策 |治療法

子供のいびき


子供のいびきの原因

 一般的に子供はいびきはかきません。子供の寝息は「すやすや」と表現されているように、通常は鼻が通っているのです。もし子供がいびきをしているときには、何らかの影響で気道が狭くなっていることを疑う必要があります。気道が狭くなると呼吸するときに抵抗が生まれるためいびきとなっているのです。
 
 子供は日常活発に動き回っています。もしも日中眠気があったり、やる気がなかったりするようだと、いびきによる睡眠不足も疑われます。とくに、無呼吸などの症状を起こしているようであれば体内の脳や臓器は十分な酸素が得られなくなることも考えられます。このように子供がいびきは身体の発育に影響が出る可能性もあるため注意が必要です。

扁桃腺肥大

 原因の中ではアデノイドなど扁桃腺肥大が最も多いようです。扁桃腺は10歳位になると縮小しますが、いびきの程度がひどい場合や頻繁に扁桃腺炎を繰り返す場合は手術の対象となります。  扁桃腺肥大


顎が小さく、歯並びが乱れている場合は顎成長矯正

 顎の小さく歯並びが乱れている子供は、いびきや無呼吸症候群になりやすい傾向にあります。歯を抜かない歯列矯正で口の中の空間を大きくすることでこれらの症状を改善することができます。欧米ではすでに導入されている方法です。

歯を抜かない顎成長矯正・全顎矯正


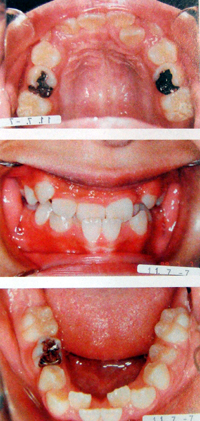
子供の例
狭く細長い歯並び
舌が収まりきれず、気道を圧迫し、いびきや無呼吸症候群の原因となります。


小さい顎には装置を使用します。1日10時間程度、自宅で装置を使い、歯を抜かずに本来の位置まで顎を成長させる治療です。

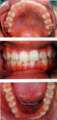
矯正後
自然に歯が並びます。また、空間ができて、いびき、無呼吸症候群が解消します(個人差があります)
 症状の改善には個人差があります。
=注意=
顎が小さいまたは口の中の空間が狭い場合には改善が期待できますが、狭くない場合や肥満の場合は効果は期待できません。

期間は個人差があり、1年〜3年です。
矯正終了まで、いびき、無呼吸症候群は改善しません。

 この治療に関するお問い合わせ。

鼻疾患

 アレルギー性鼻炎、副鼻腔炎が原因となることがあります。これらは環境汚染や現代建築の住宅構造にあるといえるでしょう。気密性が増し、カーペット、じゅうたん、エアコンの普及などにより生活環境の中にアレルギーの原因となるダニ、ハウスダストなどが急増しやすいのが現状です。 鼻疾患


子供のいびきの診療科

 こどものいびきの原因として上記の扁桃肥大や鼻疾患などが考えられます。診療科は小児科、耳鼻咽喉科などです。お近くの医院、または大学病院、総合病院でご相談下さい。